KR
ENG
회사소개
제품소개
본어스 시술 사례
본어스 사용 치과 찾기
회사소개
대표인사 소개 및 회사 비전
제품소개
본어스 시술 사례
본어스 시술 사례
본어스 이벤트 및 소식 안내
본어스 사용 치과 찾기
More Implant, More Important
BONE US
본어스 시술 사례
본어스 소식
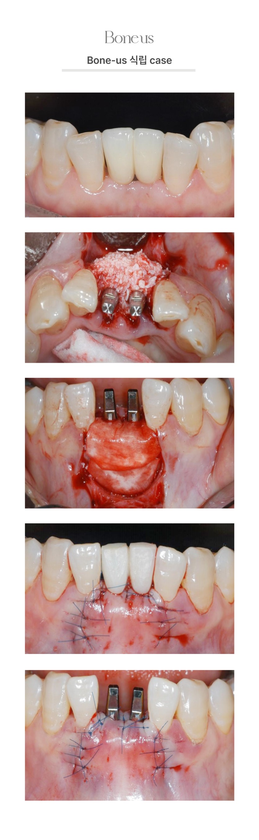
CLINICAL CASE
본어스 시술사례
본문
본어스 식립 케이스 6
이전글
본어스 식립 케이스 7
25.06.20
다음글
본어스 식립 케이스 5
25.06.20